牙齒數位美學正夯!牙科顯微鏡增加治療成功率
撰文/編輯部 本文感謝盧家正醫師提供專業諮詢
每個人都想擁有好看的美齒,牙齒若是好看,能使笑容更加分,讓能讓人看起來也更有魅力。現今牙科技術越來越先進,許多醫師會使用先進的輔助設備(如:高倍率牙科顯微鏡、3D植牙導航機等等),能使治療更加精準,有效率打造個人專屬客製化的微笑曲線。
牙齒贋復沒做好,日後問題變更多
盧家正醫師說明,牙齒贋復簡單分為做假牙和植牙,假牙若是做的不好,會出現不密合的情況,就很容易卡髒污,進而導致蛀牙、牙齦發炎,甚至更嚴重還會演變成牙周病,而這些問題因為都是慢性的,容易被患者忽略,等到發現時都已經很嚴重了。而植牙做不好,也會出現不密合的問題,可能會導致感染、植體外漏和牙齦萎縮等等,嚴重的話甚至還會出現植體牙周炎、植體會掉出來等問題,這通常是因為在術前沒有精確的評估,像是患者本身骨頭、牙齦等狀況不好,若是一開始沒有正確評估,對既有的問題先著手處理,就提高了發生植牙失敗的機率,在日後上的處理會困難且複雜,患者往往要花更多的金錢和時間去處理牙齒的問題。
技術、美學、先進設備,缺一不可
牙齒贋復手術其實十分講求精準,同時也是一門藝術!盧家正醫師指出,許多人可能覺得做假牙(牙齒贋復)很簡單,但其實裡面藏著很大的學問,因為牙齒是很精密且複雜的,要考量患者本身條件、選用的材質,甚至是日常生活習慣等,所以醫師的技術、經驗是非常重要的,且需要具備美學概念,除此之外還能搭配一些數位高科技的設備來輔助,像是X光機、斷層掃描、水雷射、3D植牙導航機、高倍率的牙科顯微鏡等等,這樣能將病患問題看得更清楚,好的設備能讓醫師在進行手術更加事半功倍,自然也就增加了治療的成功率與患者滿意度,術後才能擁有美觀的假牙。
.jpg)
▲(左)耀美診所盧家正醫師使用牙科顯微鏡來做治療、(右)耀美診所環境照
牙科顯微鏡將細節看得更輕清楚,提高治療成功率
過去傳統的牙齒治療,醫師僅能用肉眼來執行治療,但有些牙齒問題點相當的小,肉眼是根本看不到的,所以醫師只能憑感覺,利用過去經驗來執行治療,這也就是為什麼有些人做完根管治療還是會牙痛!
盧家正醫師分享,他使用牙科顯微鏡輔助治療很多年了,不論是在牙齒疾病治療、假牙、貼片或植牙手術等,他都會搭配使用牙科顯微鏡,可以發現術後的效果和穩定性都比以前用肉眼治療來的好很多,也大大提高了治療的成功率!因為在高倍率的牙科顯微鏡能將患處放大數十倍,小到0.01mm的問題都看的到,德國高倍率的牙科顯微鏡具備多種光源,方便醫師自由切換,連一些容易反光的牙材也能看的很清楚,因此治療會更加準確、安全,因此成功率也更高,患者在治療時的感受也變得更加舒適。同時牙科顯微鏡還具備全程錄影功能,能將手術過程完整記錄,醫師可以直接向患者呈現高解析度的病歷資料,並向患者解釋治療程。牙科顯微鏡將牙齒細節放大,當醫師看得更清楚時,能將牙齒細節處理得更好,很明顯就能看到差異在哪,能有效提升患者的滿意度與對醫師的信任度。

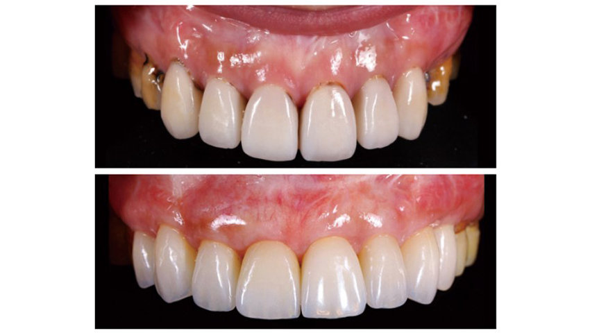
▸ 使用高倍率牙科顯微鏡處理的植牙與貼片(上圖未使用顯微鏡、下圖使用顯微鏡,兩張照片皆為同一人)
BOX:
盧家正醫師提醒,任何牙齒治療後,都要注意牙齒和周邊的基本清潔,才降低發炎、感染或是其他問題產生。且每半年定期回診讓醫師追蹤,維持好正確習慣,才能持續擁有一口美麗的牙齒。

盧家正 醫師
經歷:耀美牙科診所總院長|紐約大學植牙暨全口重建專科醫師|台灣大學牙醫學士|TAO台灣植牙醫學會主委|口腔植體學會人工植牙專科醫師|美國紐約大學NYU植牙暨全口重建專科訓練|德國蔡司牙科顯微鏡認證講師|Invisalign隱適美隱形矯正專科認證醫師|ICOI國際植牙專科醫師學會會員醫師TAO台灣植牙醫學會理事/副秘書長
專長:數位微笑設計|顯微植牙|牙齒美容貼片|3D齒雕|水雷射治療|牙周美容手術





